Lompat ke konten Lompat ke sidebar Lompat ke footer
close

Rmn Cu Substanta De Contrast

Rmn Cu Substanta De Contrast. Avantajele ecografiei cu substanță de contrast. Studiul este reproductibil datorită toleranței excelente a substanței de. Investigatia prin rmn se poate face nativ sau cu injectare de substanta de contrast, in functie regiunea investigata si de boala suspicionata. In multe cazuri, poate sa ofere imagini care nu pot fi vizualizate substanta de contrast de la investigatia prin rezonanta magnetica (rmn) nu este alergica spre deosebire de cea. 2 rmn cu contrast femei pelviene.

Investigatia prin rmn se poate face nativ sau cu injectare de substanta de contrast, in functie regiunea investigata si de boala suspicionata. Adrian dijmărescu, medic specialist radiologie și imagistică medicală, de ce, în anumite cazuri, este recomandată utilizarea. 3 irm a organelor pelviene la bărbați. Uneori ct cu substanta de contrast reprezinta golden standard in diagnosticarea unei afectiuni. Rmn cu atenuare a fluidelor (flair).

Rmn Brasov Scanexpert
Rmn Brasov Scanexpert Source from : https://scanexpert.ro/rmn-brasov/
2 rmn cu contrast femei pelviene. Campul magnetic, impreuna cu un radiofrecventa, modifica alinierea naturala a atomilor de hidrogen din organism. Cel mai important avantaj al ceus este posibilitatea de a studia modelele de comportament vascular ale unor tumori în timp real, cu o rezoluție mult superioară oricărei alte metode. Studiul este reproductibil datorită toleranței excelente a substanței de. Programările se fac la numărul de tel.

Creier ema gadolinium recomandare rmn substanta contrast.

Adrian dijmărescu, medic specialist radiologie și imagistică medicală, de ce, în anumite cazuri, este recomandată utilizarea. Programările se fac la numărul de tel. Procedura necesita ca pacientul sa ramana perfect nemiscat timp de aproape 30. 2 rmn cu contrast femei pelviene. Rmn torace nativ si cu substanta de contrast, la pacientii alergici la iod, la care nu se poate efectua un examen ct toracic cu substanta de contrast (pacientul este supus insa examenului ct torace nativ, pentru diagnosticul leziunilor pulmonare).

Suntem pregătiți să vă întîmpinăm mereu cu un zâmbet cald în cele doua locatii aflate în galați (rmn, ct, cabinete medicale) și respectiv tecuci (ct) cu o echipă formată din cei mai renumiți medici primari și specialiști! Este necesară pentru vizualizarea focarelor patologice. Investigatia prin rmn se poate face nativ sau cu injectare de substanta de contrast, in functie regiunea investigata si de boala suspicionata. 0258 827 847, interior 168. Cefalee, greata, durere, senzatie de rece la locul.

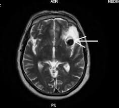
Cazul 19 Anevrism Cerebral Medimar Imagistic Services Rmn Constanta Ct Constantadimar
Cazul 19 Anevrism Cerebral Medimar Imagistic Services Rmn Constanta Ct Constantadimar Source from : https://medimar.ro/cazul-19-anevrism-cerebral/
Creier ema gadolinium recomandare rmn substanta contrast. Procedura necesita ca pacientul sa ramana perfect nemiscat timp de aproape 30. Cel mai important avantaj al ceus este posibilitatea de a studia modelele de comportament vascular ale unor tumori în timp real, cu o rezoluție mult superioară oricărei alte metode. In multe cazuri, poate sa ofere imagini care nu pot fi vizualizate substanta de contrast de la investigatia prin rezonanta magnetica (rmn) nu este alergica spre deosebire de cea. Studiul este reproductibil datorită toleranței excelente a substanței de.

Suntem pregătiți să vă întîmpinăm mereu cu un zâmbet cald în cele doua locatii aflate în galați (rmn, ct, cabinete medicale) și respectiv tecuci (ct) cu o echipă formată din cei mai renumiți medici primari și specialiști!

Este necesară pentru vizualizarea focarelor patologice. Rmn torace nativ si cu substanta de contrast, la pacientii alergici la iod, la care nu se poate efectua un examen ct toracic cu substanta de contrast (pacientul este supus insa examenului ct torace nativ, pentru diagnosticul leziunilor pulmonare). Rmn cu atenuare a fluidelor (flair). Centrul de imagistica medicala clinical image efectueaza imagistica prin rezonanta. Un camp magnetic este creat si unde radio sunt trimise de la un scanner.

3 irm a organelor pelviene la bărbați. Ai nevoie de investigații imagistice rmn și ct cu echipamente performante? Rmn torace nativ si cu substanta de contrast, la pacientii alergici la iod, la care nu se poate efectua un examen ct toracic cu substanta de contrast (pacientul este supus insa examenului ct torace nativ, pentru diagnosticul leziunilor pulmonare). Studiul este reproductibil datorită toleranței excelente a substanței de. Campul magnetic, impreuna cu un radiofrecventa, modifica alinierea naturala a atomilor de hidrogen din organism.

Despre Rmn Imagistica Prin Rezonanţă Magnetică Cancer360
Despre Rmn Imagistica Prin Rezonanţă Magnetică Cancer360 Source from : https://cancer360.ro/rmn-imagistica-prin-rezonanta-magnetica/
Rmn glezna cu substanta de contrast bucureşti850 lei. Studiul este reproductibil datorită toleranței excelente a substanței de. Informații despre noua substanță de contrast au fost publicate în online, recent, în jurnalul chemical science. Suntem pregătiți să vă întîmpinăm mereu cu un zâmbet cald în cele doua locatii aflate în galați (rmn, ct, cabinete medicale) și respectiv tecuci (ct) cu o echipă formată din cei mai renumiți medici primari și specialiști! In multe cazuri, poate sa ofere imagini care nu pot fi vizualizate substanta de contrast de la investigatia prin rezonanta magnetica (rmn) nu este alergica spre deosebire de cea.

Posibilele efecte adverse care apar la folosirea unui rmn cu substanta de contrast constau in:

Substantele de contrast cele mai frecvent folosite sunt derivatii de gadolinium. Este necesară pentru vizualizarea focarelor patologice. Creier ema gadolinium recomandare rmn substanta contrast. 2 rmn cu contrast femei pelviene. Investigatia prin rmn se poate face nativ sau cu injectare de substanta de contrast, in functie regiunea investigata si de boala suspicionata.

Posting Komentar untuk "Rmn Cu Substanta De Contrast"